Questo sito contribuisce alla audience di Il Messaggero

Venerdì 12 Settembre
Scarica la nostra app
Segnala

Timoma, la Prof. Giulia Veronesi spiega di cosa si tratta e quali sono i sintomi

La professoressa Veronesi spiega cosa sono i timomi, parla della loro incidenza, dei sintomi e della diagnosi

Timoma, la Prof. Giulia Veronesi spiega di cosa si tratta e quali sono i sintomi
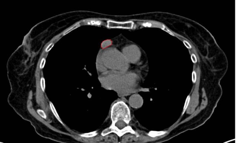
Fonte Wikimedia Commons

Cosa sono i timomi

I timomi sono neoplasie che crescono lentamente e originano dalle cellule del timo, una ghiandola situata nella sezione anteriore del mediastino, cioè nello spazio toracico tra i polmoni, collocata dietro lo sterno e davanti al cuore, e che è fondamentale per la produzione delle cellule del sistema immunitario durante l’infanzia. Dopo la pubertà, il timo solitamente diminuisce di dimensioni, ma in alcuni casi può dar luogo a tumori denominati timomi. Tali tumori sono di frequente legati alla miastenia gravis, una patologia autoimmune che provoca sintomi neuromuscolari, quali stanchezza, problemi visivi e difficoltà nella deglutizione. Anche se rari, i timomi hanno un notevole impatto clinico. Oltre al rischio di sviluppo oncologico, possono scatenare disturbi autoimmuni gravi. Una diagnosi precoce e un trattamento adeguato possono migliorare in maniera molto evidente le prospettive di guarigione, rendendo fondamentale discuterne e sensibilizzare sia i medici che i pazienti. Il Gruppo San Donato ha approfondito l’argomento con la professoressa Giulia Veronesi, responsabile dell’Unità Operativa di Chirurgia Toracica all’IRCCS Ospedale San Raffaele e docente associato all’Università Vita-Salute San Raffaele di Milano.

L’incidenza dei timomi

A proposito di incidenza, la professoressa Veronesi chiarisce che il timoma rappresenta una neoplasia poco comune, con una frequenza di circa 0,15 casi per 100.000 persone. Aggiunge che essa costituisce tra lo 0,2% e l’1,5% di tutte le tipologie di tumore, ma è il più comune tra quelli che si trovano nel mediastino anteriore, rappresentando circa il 50% delle neoplasie in questa zona. L’esperta spiega anche che la maggior parte delle diagnosi avviene tra i 50 e i 60 anni, mentre è estremamente raro nei giovani. La distribuzione dei casi appare relativamente uniforme: sia gli uomini che le donne sono interessati in modo simile, e non si osservano differenze significative tra le varie regioni.

Timoma, i sintomi

Nel caso in cui il timoma è di piccole dimensioni, potrebbe risultare asintomatico e frequentemente viene rilevato causalmente tramite esami di imaging eseguiti per altre motivazioni. Quando le sue dimensioni aumentano e colpiscono le strutture circostanti, i sintomi principali includono dolore al petto, tosse e mancanza di respiro.

Timoma e miastenia gravis

La specialista spiega che se si associa a miastenia gravis, si possono avvertire disturbi neuromuscolari, quali:

– riduzione della forza muscolare;

– problemi nel deglutire e, se colpita la muscolatura, anche nella respirazione (fino a crisi respiratorie);

– difficoltà a deglutire e a parlare;

– stanchezza agli occhi con caduta della palpebra o visione doppia.

Diagnosi del timoma

La diagnosi del tumore al timo si fonda essenzialmente su:

– PET (Tomografia a Emissione di Positroni) per stabilire l’estensione della patologia;

– TC del torace;

– scintigrafia totale eseguita utilizzando un tracciante, il fluorodesossiglucosio, composto da zuccheri legati a un agente radioattivo (tecnecio).

Per confermare il quadro clinico, si ricorre a un prelievo bioptico sotto guida tomografica, effettuato attraverso il torace, oppure a un intervento chirurgico mininvasivo.

La nostra newsletter!

Ricevi gli aggiornamenti e le ultimissime
su Meteo e Scienza via mail!

ISCRIVITI ORA!

Carmine Orlando

Classe 1971, da oltre un decennio svolgo il lavoro di redattore web. Ho collaborato con molti siti ed essendo una persona poliedrica mi sono occupato di svariati argomenti, dall'astrologia alla salute, dalla politica al fisco, dalla tv allo sport. Ma mi diletto anche nella stesura di articoli di terremoti, astronomia, cronaca, tecnologie e lotterie. Adoro scrivere ma anche leggere.

SEGUICI SU:

Ultima Ora

Ultima Ora Terremoto